カイロで健康

ヘルニアの実体験ヘルニア

症例6-1

60歳代、男性、自営業 ヘルニア体験談です。

椎間板ヘルニアの受傷

受傷からMRIまで

その日の朝は、寒い日で朝一番、車のガソリンと灯油18Lを買いに行きました。
周辺の掃除、水撒き、施療室の掃除機、雑巾がけ
そして朝ドラ見ながら朝食と普段どおりのルーチンでした。

その日、1番の患者さんに、低周波をセットしたあと、
あれ、右足がおかしい、しびれてきた、痛い、また尿管結石か?
別室で、横になったら、右足がもげそうな激痛で、動けない。
15分ぐらい、あまりの痛さで、息が上がってきた。
家族にたのんで、患者さんに謝って帰ってもらいました。

車のシートを倒し、病院の救急へ連れて行ってもらいました。
救急の待合で、横になって、ハァハァ、冷や汗も出てましたが、意識は、なんとか保って会話はできました。

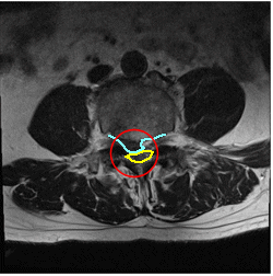
腰の骨ヘルニアのCT画像 CT画像

病院の救急

CTを撮ってもらい、尿管結石は見つからず、血尿もありませんでした。

レントゲン所見で、腰椎ヘルニアだと言われ、
ああ、そうかも、ヘルニアの部位と痛い足の部位も一致するな。
痛み止めの静注を打ってもらい、やや痛みが軽くなりましたが、立つことができず、車いすで駐車場に行き帰宅しました。

寝る体制 寝た体勢

自宅に帰って

車から玄関、寝室のベッドまで、冷や汗をかきながら、なんとかたどり着きました。

ベッドでは、足や体を少しずつずらして痛みが少なくなる体勢を探して横になりました。
2日間は、寝返りはできず痛みでまったく寝れませんでした。

水分補給には、登山用に準備していたゼリー飲料が役立ちました。

3日目に、

少し寝られ、起きあがってトイレに行こうとすると、足の感覚がなくバタンと倒れて、右腕を打撲してしまいました。

ズルズルと、つたいながら何とかトイレをすませましたが、かなり時間が、かかってしまいました。
この時は、手すりのありがたさが、身にしみました。

4日目は、

右足は、力が入らず、登山用のストックを使い、しびれた右足を突っ張った状態でなんとかトイレに行けました。
そろそろ、筋肉がやせてくるので、寝ながら、動かせるところは、できるだけ動かすようにしました。

1週間後、

椅子に座る練習をすると、数分で足のしびれが強くなってくるので、ベッドで横になる、を繰り返しました。

ストックを使い少しなら歩けて、少しの時間ならそのまま立っていられるので整形外科を受診し4日後に、MRIを予約してもらいました。

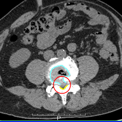
腰の骨ヘルニアのMRI画像 MRI画像

13日目、

MRIの結果を持って、整形外科で見ると、腰椎4番、5番の椎間板ヘルニアが、見られました。

大きな突出で、それも中央に近く、精神的ショックを受けました。
右足だけでなく左足もしびれていてもおかしくない状態でした。

ドクターから、opするなら紹介しますと言われましたが
改善傾向がみられるので、このまま運動療法を続けて改善しないときは、お願いしますと帰宅しました。


教科書的な右足のしびれ

L4神経でしびれる部位 / 教科書的

腰椎4番5番の間、L4神経支配を調べると足の付根から母指までが、しびれる範囲です。
受傷した時の強い痛みの部位とほぼ一致します。

ヘルニアによる炎症が、L4神経を刺激し神経全体が、しびれ以上の痛みを出したと考えられます。

尿管結石の痛みを10とすると9ぐらいの痛みでした。

静注による痛み止めは、9が8ぐらいで、尿管結石ほど効きませんでした。


実際の右足のしびれ

L4神経でしびれる部位 / 現実

3日ほどで、6ぐらいの痛みに減少すると、痛む範囲が、減少しました。
教科書的な部位より、母指と膝から上は、改善していました。

痛みは、しびれに変わってきました。
膝の皿部位のしびれが最も強く、膝下半分くらいにかけてしびれています。

しびれた感覚は、歯の麻酔をかけた感覚に似ており、手で触ると軽くビリビリしました。
お風呂に入ると、足先は温度感覚は、ありますが、膝から膝下は、温度感覚やお湯に触れている感覚はありません。

20日までの運動療法と施療再開へ 続きます

カイロで健康
「臨床」